Wir bringen Sie wieder in Schwung mit neuen Gelenken

Unsere anerkannten Spezialisten entwickeln individuell auf Sie abgestimmte Therapiestrategien. Die Steigerung Ihrer Lebensqualität durch Schmerzlinderung und Verbesserung Ihrer Mobilität sind die Maximen unseres Handelns. Perfektion bei der Ausführung modernster OP-Techniken unter minimal-invasiven Gesichtspunkten ist die Basis für Ihre schnelle Genesung.
Arthrose, Ursachen, Symptome
Arthrose
Der Knorpel ist ein nicht durchblutetes druck- und biegeelastisches Bindegewebe. Die Ernährung erfolgt im Gelenkspalt durch Diffusion aus der Gelenkflüssigkeit. Bei einer Arthrose kommt es zu einem Elastizitätsverlust des Knorpelgewebes mit Einrissen, Knorpelabrieb und einer Höhenminderung in der Knorpeloberfläche. Später wird auch der Knochen mit in den Prozess einbezogen. Im Röntgenbild erkennt man z.B. eine Verschmälerung des Gelenkspaltes.

Gesunde Hüfte / Arthrose Hüfte

Gesundes Knie / Arthrose Knie
Ursachen
Es wird zwischen einer primären und einer sekundären Arthrose unterschieden. Bei der primären Arthrose wird eine biologische Minderwertigkeit des Knorpelgewebes unklarer Ursache angenommen. Die sekundäre Arthrose kann z.B. durch Verletzungen (posttraumatische Arthrose), durch Stoffwechselerkrankungen (Rheuma, Gicht), durch veränderte Druckbelastungen (angeborene Gelenkfehlstellungen), aber auch durch Übergewicht, Infektionen und Medikamente entstehen.
Symptome
Die Arthrose kann ohne Symptome verlaufen. Häufig finden sich aber Belastungs- und Anlaufschmerzen. Schwellungen (Gelenkerguss) und Deformierungen des Gelenkes sind weitere Symptome einer Arthrose.
Leitliniengerechte Therapie bei Hüft- und Kniearthrose
Unsere Behandlungskonzepte der Arthrose und der Implantation der Knie- und Hüftprothesen orientieren sich an wissenschaftlich fundierte und praxisorientierte Handlungsempfehlungen (Leitlinien). Ihr Hauptzweck ist die Darstellung des fachlichen Entwicklungsstandes und gibt den Ärzten eine Orientierung im Sinne von Entscheidungs- und Handlungsoptionen.
Nach dem System der Arbeitsgemeinschaft der Wissenschaftlichen Medizinischen Fachgesellschaften (AWMF) werden Leitlinien in vier Entwicklungsstufen von S1 bis S3 eingeteilt, wobei S3 die höchste Qualitätsstufe der Entwicklungsmethodik ist.
Für die Hüft- und Kniearthrose existiert eine medizinische Leitlinie der höchsten Stufe S3 von der Deutschen Gesellschaft für Orthopädie und Orthopädische Chirurgie (DGOOC) und dem Berufsverband der Ärzte für Orthopädie (BVO) vom November 2009.
Leitlinie der Hüftarthrose: https://www.awmf.org/leitlinien/detail/ll/033-001.html Leitlinie der Kniearthrose: https://www.awmf.org/leitlinien/detail/ll/012-008.html
Konservative Behandlungsmöglichkeiten der Hüft- und Kniearthrose
Eine kausale konservative Therapie der Arthrose ist bisher nicht möglich. Ziel der konservativen Therapie ist daher die Schmerzlinderung sowie die mechanische Entlastung des betroffenen Gelenks. Im Anfangsstadium ist die Vorbeugung gegen Arthrose am wichtigsten. Empfehlenswert ist eine ausreichende Bewegung ohne Überlastung, der Schutz vor Gelenkverletzungen und die Verhinderung von Übergewicht.
Therapie der Schmerzlinderung
Zur Schmerzlinderung und als entzündungshemmendes Medikament eignen sich die sogenannten nichtsteroidalen Antirheumatika (z.B. Diclofenac, Ibuprofen, Cox-2 Inhibitoren). Diese sollten jedoch aufgrund der Magen-Darm Nebenwirkungen nicht über einen langen Zeitraum regelmäßig eingenommen werden. In einigen Fällen kann auch eine Gelenkinjektion mit kristallinem Cortison durchgeführt werden. Dies ist sinnvoll bei einer aktivierten Arthrose, um schnell eine Linderung des Schmerzes, des Reizzustandes und eine Reduktion des Gelenkergusses zu erreichen.
Therapie der mechanischen Entlastung
Zur mechanischen Entlastung des Gelenks kann ein Gehstock eingesetzt werden, der auf der gesunden Seite gehalten wird. Auch Bandagen und Orthesen, beispielsweise in Form von weichen Absätzen („Pufferabsatz“), können die Belastung erheblich senken. Gleichzeitig sollten durch physiotherapeutische Maßnahmen die Mobilität des Patienten gefördert und Kontrakturen verhindert werden.
Individuelle Behandlungsmethoden der Schmerztherapie
Zur Linderung Ihrer Schmerzen bieten wir in unserer Praxis weitere Behandlungsmöglichkeiten:
Operative Behandlungsmöglichkeiten der Hüft- und Kniearthrose
Eine dauerhafte Linderung der Schmerzen verbunden mit einer Verbesserung der Gelenkfunktion ist letztendlich meist nur durch das Einsetzen eines künstlichen Gelenkes zu erzielen. In Deutschland werden jährlich rund 390.000 künstliche Hüft- und Kniegelenke eingebaut. Durch das Einsetzen eines künstlichen Gelenkes können bei ca. 90% der Betroffenen gute bis sehr gute Langzeitergebnisse hinsichtlich einer deutlichen Schmerzlinderung, sowie einer Zunahme der Beweglichkeit erreicht werden. Die Lebensqualität verbessert sich spürbar. Die einzelnen Bestandteile der künstlichen Gelenke müssen mit dem körpereigenen Knochen verbunden werden. Nach der Art und Weise der Verankerung der Prothesenteile im Knochen werden zementfreie und zementierte Prothesen unterschieden.
Zementfreie Prothese
Die zementfreie Prothese hat eine speziell poröse oder beschichtete Oberfläche und wird im Knochen passgenau verankert (Pressfit Technik). Langfristig wächst der Knochen an die Prothesenoberfläche und eine dauerhafte Fixierung wird erreicht.
Zementierte Prothese
Bei einer zementierten Prothese werden die künstlichen Gelenkanteile durch eine schnell selbsthärtende Plastikmasse (Pallacos = Knochenzement) im Knochen fixiert.
Minimal-invasive Operationstechnik
Die bei uns durchgeführte moderne minimal-invasive Operationstechnik erlaubt heute eine gewebeschonende Art der Implantation. Es handelt sich hierbei um minimal- oder gering-invasive Zugänge zum Hüft- und Kniegelenk. Ein Vorteil ist die schnellere Rehabilitation der Patienten als bei den konventionellen Techniken aufgrund der schonenderen Weichteilbehandlung. Dies betrifft jedoch nur die ersten Tage nach der Operation. Im späteren Verlauf gibt es keinen Unterschied zwischen den einzelnen Techniken in der Beweglichkeit oder Belastungsfähigkeit der Gelenke. Die minimal-invasive Technik ist nicht bei jeder Hüft- und Kniegelenkserkrankung anzuwenden und hat ihre Grenzen.
Kniegelenksprothesen
Bei der Operation eines künstlichen Kniegelenkes werden die Knorpelreste und der oberflächlich zerstörte Knochen am oberen Ende des Unterschenkelknochens und am unteren Ende des Oberschenkelknochens entfernt. Der verbleibende Knochen wird mit Schablonen so geformt, dass die Metallteile der Prothese passgenau sitzen. Zusätzlich wird eine Kunststoffplatte zwischen dem Oberschenkel- und Unterschenkelprothesenanteil eingebracht, um die Reibung zu verringern.
In einer aktuellen Studie des schwedischen Endoprothesenregisters von 2012 ergaben sich für den Ersteinbau des kompletten Gelenkersatzes ohne Achsführung Zehnjahres-Überlebensraten von ca. 95 % und für Schlittenprothesen von ca. 85-90 %. Dies bedeutet, dass statistisch nach zehn Jahren ca. zwischen 5 % und 10-15 % der Kniegelenke entfernt, bzw. gewechselt wurden, alle anderen Endoprothesen dagegen nicht. Hieraus lässt sich aber weder das individuelle Wechselrisiko, noch das individuelle klinische und subjektive Einzelergebnis ableiten.
Knieprothesen teilt man nach ihrem Koppelungsgrad ein. Das heißt, je mehr das Gelenk beschädigt ist und von der Knieprothese übernommen werden muss, desto höher ist der Koppelungsgrad.
Der teilweise Gelenkersatz (Schlittenprothese)
Dieser Prothesentyp kommt zur Anwendung, wenn der Knorpel bei funktionstüchtigen Bändern nur in einem Gelenkabschnitt zerstört ist und künstlich ersetzt werden muss. Die Vorteile der Schlittenprothese liegen darin, dass die übrigen gesunden Gelenkstrukturen erhalten bleiben und die Operation weniger belastend für den Betroffenen ist. Die Beweglichkeit im Kniegelenk ist kaum eingeschränkt.

Schlittenprothese Knie
Der komplette Gelenkersatz ohne Achsführung (Oberflächenprothese)
Dieser Prothesentyp kommt zur Anwendung, wenn der Knorpel in mehren Gelenkabschnitt zerstört ist. Die Bandstrukturen müssen aber ausreichend funktionsfähig sein. Hier werden beide Gelenksabschnitte, manchmal auch die Rückfläche der Kniescheibe, ersetzt. Dieser Prothesentyp wird am häufigsten eingesetzt.

Oberflächenprothese Knie
Der komplette Gelenkersatz mit Achsführung (achsgeführte Rotationsprothese)
Ist die Zerstörung des Gelenkes soweit vorangeschritten, dass neben Knochen und Knorpel auch die Bänder zerstört, bzw. in ihrer Funktion stark beeinträchtigt sind, muss die Prothese die Stabilisierung des Kniegelenkes übernehmen.

Rotationsprothese
Animation_With_Bone
DPY_SM_Revision_Knee_Post
Patienteninformationen zum Knieprotheseneinbau und der Nachbehandlung:
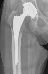
Hüftgelenksprothesen
Nach Ausschöpfung aller konservativen Maßnahmen ist die operative Therapie bei einer röntgenologisch nachgewiesenen Coxarthrose mit erheblicher funktioneller Beeinträchtigung, sowie Beschwerden im Alltag und Beruf indiziert. Dabei werden normalerweise sowohl der Hüftkopf, als auch die Hüftpfanne ersetzt, man spricht daher von einer Totalendoprothese (TEP). Die Prothese kann dabei im Knochen durch Knochenzement verankert oder durch eine spezielle Oberflächenbeschichtung zementfrei fixiert sein. Von einer Hybrid-Implantationstechnik spricht man, wenn der Schaft einzementiert und die Pfanne zementfrei eingebaut wird.

Prothesen Hüfte: Pfannen

Prothesen Hüfte: Prothese zementfrei / Prothese zementiert

Zementierte Prothese

Hybrid Prothese

Zementfreie Prothese mit Pressfit Pfanne

Zementfreie Prothese mit Schraubpfanne
Patienteninformationen zum Hüftprotheseneinbau und der Nachbehandlung
Betreuung nach der Operation
In den ersten Tagen nach der Operation werden Wundschmerzen mit Medikamenten aufgefangen.
Die individuell auf den Patienten abgestimmte krankengymnastische Bewegungstherapie des operierten Beines beginnt. Das postoperative Vorgehen unterscheidet sich erheblich zwischen zementierten und zementfreien Prothesen. Der große Vorteil von zementierten Prothesen besteht darin, dass die Mobilisation bereits am ersten Tag nach der Operation beginnt und der Patient unter (schmerzlimitierter) Vollbelastung die ersten Schritte gehen kann. Bei zementfreien Prothesen erfolgt in den ersten postoperativen Wochen nur eine Teilbelastung der Prothese, damit der recht langsam erfolgende knöcherne Einbau nicht gestört wird. Medizinische Gehwagen und Unterarmgehstützen helfen dabei, die Gangsicherheit zu verbessern und das operierte Gelenk nicht zu überlasten.
Die stationäre Behandlung in der Klinik dauert nach einem komplikationslosen Eingriff ca. sieben bis zehn Tage. In dieser Zeit wird eine Anschlussheilbehandlung festgelegt. In Rehabilitationskliniken wird die Mobilität dann weiter verbessert und die gelenkstabilisierende Muskulatur gezielt trainiert.
Eine individuelle Betreuung der Patienten durch regelmäßige Verlaufskontrollen bei uns in der Praxis mit klinischer und röntgenologischer Untersuchung sollen diese Ergebnisse langfristig begleiten.
Weitere Informationen finden Sie in der Patientenleitlinie Schmerzbehandlung nach Operationen: PDF-Datei.